ログイン
109G54
トーク情報
  • トークが作成されました
  • トークが開始されました
  • Dr.アフ郎
    Dr.アフ郎

    109G54
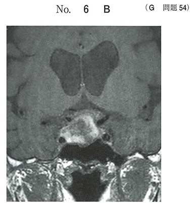
    63歳の男性。頭痛と複視とを主訴に来院した。半年前に下腿浮腫、筋力低下、倦怠感および皮膚乾燥があり自宅近くの診療所を受診した。TSH
    3.7μU/mL(基準0.4〜4.0)、FT4 0.3ng/dL(基準0.8〜1.8)の検査結果から甲状腺ホルモン補充療法(レボチロキシン50μg/日)が開始された。2ヶ月前から食欲が低下し体重も減少してきていた。今朝、突然に右前額部痛、嘔吐および複視が出現したため救急外来を受診した。意識は清明。身長169cm、体重69kg(2ヶ月前は75kg)。体温36.8度。脈拍80/分、整。血圧154/92mmHg。右眼瞼下垂と右眼球外転偏位とを認める。四肢麻痺はない。頭部単純MRIのT1強調像の矢状断像(別冊No.6A)と冠状断像(別冊No.6B)を別に示す。

    基礎疾患として最も考えられるのはどれか。
    a 髄膜腫
    b 動静脈奇形
    c 下垂体腫瘍
    d 内頸動脈瘤
    e 原発性甲状腺機能低下症

  • てれびんが参加しました
  • asunoochが参加しました
  • 削除されたユーザーが退席しました