ログイン
詳細
Dr.アフ郎
Dr.アフ郎
2015年02月20日 20:18
前へ
次へ
109I50
トーク情報
Dr.STD
Dr.STD
10年前
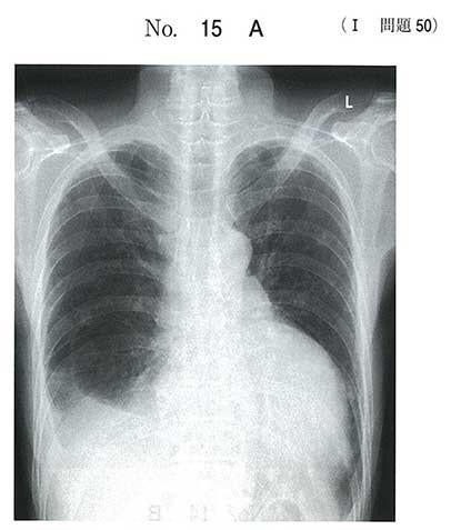
慢性経過の方ですねー。
こういうのは以外と緊急性がないかもですねー。
水鳥@一般が低い
水鳥@一般が低い
10年前
画像はすっごく派手で、びっくりします!
Dr.STD
Dr.STD
10年前
まあ有症状なので治療対象でしょうがしんげの先生待つかなー。
としー
としー
10年前
これって、何mL位溜まってるんでしょうかねぇ…
みっすんが参加しました
やまもとが参加しました
lunaが参加しました
asunoochが参加しました
ayk700が参加しました
削除されたユーザーが退席しました