ログイン
109G56
トーク情報
  • トークが作成されました
  • トークが開始されました
  • Dr.アフ郎
    Dr.アフ郎

    109G56
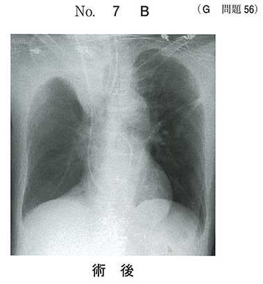
    78歳の男性。冠動脈バイパス術直後で手術室に入室中である。未覚醒で人工呼吸中である。脈拍88/分、整。血圧120/80mmHg。動脈血ガス分析(吸入酸素濃度100%):pH 7.30 、PaCO2 50Torr、PaO2 200Torr、HCO3- 24mEq/L。術前と全身麻酔下手術の終了直後の胸部エックス線写真(別冊No.7A、B)を別に示す。
    処置として適切なのはどれか。
    a 血腫除去術
    b 血栓溶解療法
    c 心嚢ドレナージ
    d 胸腔ドレナージ
    e 気管支内視鏡による吸引

  • てれびんが参加しました
  • asunoochが参加しました
  • 削除されたユーザーが退席しました