ログイン
109F20
トーク情報
  • トークが作成されました
  • トークが開始されました
  • Dr.アフ郎
    Dr.アフ郎

    109F20
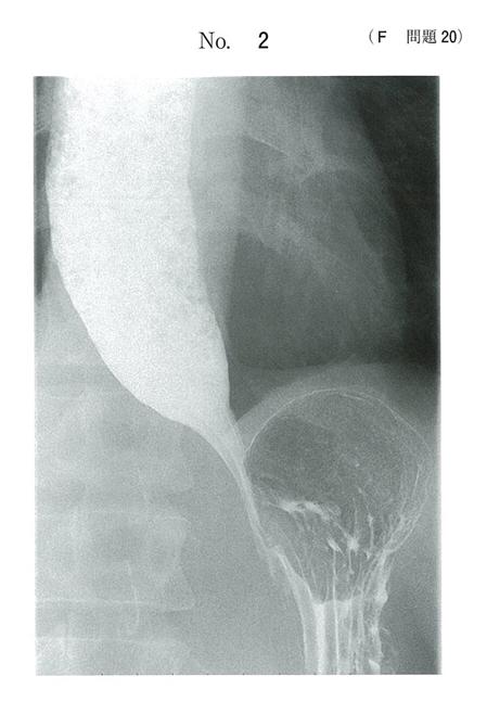
    40歳の女性。嚥下困難と嘔吐とを主訴に来院した。35歳を過ぎた頃から前胸部に食物のつかえを感じるようになった。1年前から食物がつかえたときにお茶で流しこむことが月に2回程度あった。最近、食後に嘔吐するようになったため受診した。吐物はほとんど飲み込んだ食物であり体重減少はない。上部消化管造影像(別冊No.2)を別に示す。
    考えられるのはどれか
    a 食道癌
    b 食道憩室
    c 逆流性食道炎
    d 食道アカラシア
    e 食道裂孔ヘルニア

  • てれびんが参加しました
  • 削除されたユーザーが退席しました